

在全球乙肝治疗药物研发赛道上,竞争一直异常激烈,但始终缺乏一款具有全新作用机制的突破性药物。近日,广生堂传来振奋人心的消息,其核心产品奈瑞可韦(GST-HG141)Ⅲ期临床获...


▎ 追溯 CD117,又名KIT,我关注这个靶点已久,可以追溯到五年前。Jasper 当年对这个靶点主要做清除 干细SPOTLIGHT 研究是一项 1b/2a 期开放标签临床试验,旨在评估单剂量皮下注射briquil...


根据中国国家药监局药品审评中心(CDE)官网以及公开资料梳理,本周(6月2日~6月7日),有5 款1类创新药 首次在中国获得临床试验默示许可(IND)。 这些产品涵盖了 抗体偶联药物(...


编者按: 在高血压治疗研究领域,靶向血管紧张素原(AGT)的寡核苷酸疗法因潜在长效降压优势成为行业关注的焦点。在这类寡核苷酸疗法的开发过程中,能够实现肝脏递送的GalNAc偶联...


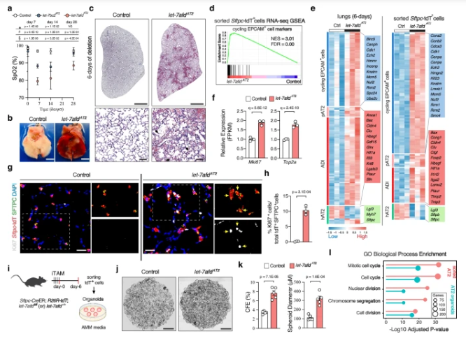
人类的肺部具有极强的自我修复能力。人在一生中经历反复肺部损伤(如严重流感或新冠病毒感染)后,肺部仍能实现自我修复。但随着年龄增长,肺部的修复能力逐渐衰退。本来应该...