人类的肺部具有极强的自我修复能力。人在一生中经历反复肺部损伤(如严重流感或新冠病毒感染)后,肺部仍能实现自我修复。但随着年龄增长,肺部的修复能力逐渐衰退。本来应该是用于修复肺部的AT2细胞不再修复肺部,反而产生瘢痕组织。
这就是肺纤维化。
近期,贝勒医学院研究团队揭示了microRNA家族成员let-7在肺稳态维持中的核心调控作用,为理解肺纤维化的分子病理机制及开发新型干预策略提供了重要突破。
相关成果发表于Nature子刊Nature Communications上。
研究历程
肺泡II型上皮细胞(AT2)作为肺组织损伤修复的关键执行者,其功能异常会直接导致纤维化发生。然而,传统研究主要聚焦于细胞信号通路调控,而对转录后水平的基因表达调控网络认知不足。
在这里,研究人员聚焦于microRNA介导的肺泡II型(AT2)和I型(AT1)细胞分化转录过程。
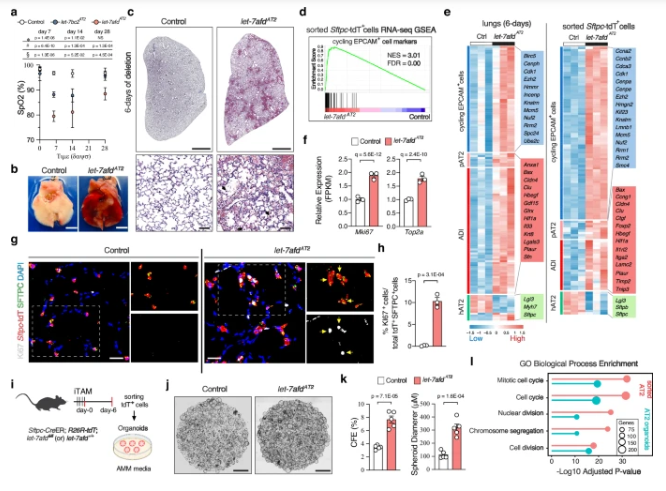
研究人员通过博来霉素诱导来构建肺损伤小鼠模型,他们观察到let-7家族成员在损伤修复期呈现短暂而精确的转录后下调,这一动态变化为修复性AT2细胞的出现创造条件。进一步利用条件性基因敲除技术(let-7afd缺失小鼠)发现:
当实验鼠缺失该基因时,受损肺部无法正常修复,反而发展为肺纤维化。具体表现为AT2细胞失去“制动”效应,并呈现大量失控性增殖,肺泡损伤中间体(ADIs)会在肺出血阶段异常蓄积,最终发展为不可逆性肺纤维化。

图:敲除let-7基因导致小鼠肺部损伤
此发现突破传统认知,首次证明let-7能够通过调控AT2细胞活化阈值,而非直接阻断上皮-间质转化(EMT)过程,参与纤维化启动。
通过整合AGO2-eCLIP与RNA测序技术,研究揭示let-7还能够直接靶向BACH1/EZH2/MYC致癌基因网络。这些致癌基因均与上皮干细胞增殖、转化及增强癌细胞转移潜能相关。
当这些基因在let-7缺失的AT2细胞中呈现持续性异常激活时,还能够进一步放大纤维化信号。
此调控网络将let-7缺失与AT2细胞表观遗传重编程直接关联,解释了纤维化进展的不可逆性。
总结
由于let-7基因在所有器官中均有表达。这次的发现支持在其他纤维化疾病中展开进一步的探索,这一机制是否适用于其他纤维化疾病有待观察。另外这也为靶向递送let-7的治疗策略提供了理论依据。
参考来源:
Seasock, M.J., Shafiquzzaman, M., Ruiz-Echartea, M.E. et al. Let-7 restrains an epigenetic circuit in AT2 cells to prevent fibrogenic intermediates in pulmonary fibrosis. Nat Commun 16, 4353 (2025). https://doi.org/10.1038/s41467-025-59641-1